A dental abscess is a painful and potentially serious oral health condition that occurs when a bacterial infection leads to a buildup of pus inside the tooth, gums, or surrounding tissue.
If left untreated, the infection can spread to
parts of the body, leading to severe complications.
In this guide, we’ll explore everything you need to know about dental abscesses, including how to recognize them and what to do if you suspect you have one.
What Is a Dental Abscess?

A dental abscess, which is sometimes called a tooth abscess or tooth infection, is an infection that results in a pocket of pus forming in or around a tooth due to bacterial growth.
It develops when bacteria enter the inner layers of the tooth or gums, often due to untreated cavities, gum disease, or dental trauma. As the infection progresses, it causes swelling, pain, and sometimes drainage of pus.
3 Types of Dental Abscesses
- Periapical Abscess: This type occurs at the tip of the tooth’s root and is usually caused by deep decay or an injury that allows bacteria to enter the pulp of the tooth.
- Periodontal Abscess: This infection develops in the gums near the tooth root, often as a result of gum disease creating pockets where bacteria thrive.
- Gingival Abscess: A less severe form that affects only the gum tissue, often caused by trapped food particles or foreign objects like popcorn hulls.¹
Dental Abscess Symptoms
A dental abscess can cause a range of symptoms, with the most common being persistent, intense pain. The symptoms may develop gradually or appear suddenly, and they often worsen over time. Here are some key signs to watch for:¹,²
Severe, throbbing toothache that may radiate to the jaw, ear, or neck
Increased sensitivity to hot and cold foods or drinks
Swollen, red, or tender gums near the affected tooth
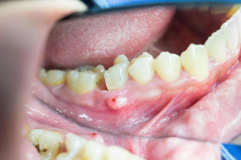
A visible bump (pus-filled swelling) on the gums, sometimes resembling a pimple
Pain when chewing or biting down
Bad breath or a foul taste in the mouth due to pus drainage
Swelling in the face or jaw, which may indicate the infection is spreading
Fever and general discomfort, particularly if the infection has reached other areas
Dental Abscess Causes
A dental abscess occurs when bacteria enter the inner layers of a tooth or the surrounding gums, leading to infection and pus buildup. Several factors can contribute to its development, including: ¹,²
Untreated tooth decay: Cavities that are not addressed allow bacteria to reach the soft pulp inside the tooth, leading to infection.
Cracks, chips, or other injuries: Damage to the tooth can create openings for bacteria to invade the inner tissues.
Gum disease: Infected or weakened gum tissues provide an entry point for bacteria, increasing the risk of an abscess.
Foreign objects in the gums: Items like popcorn hulls or toothbrush bristles can become lodged in the gums, triggering an infection.
Bacteria spreading from the tooth root: If an infection reaches the root, it can spread to the surrounding bone and tissues, causing further complications.
Dental Abscess Diagnosis
Diagnosing a dental abscess involves a thorough examination by a dentist, who may perform several tests to determine the presence and extent of the infection.
One common method is a sensitivity test, where the dentist taps on the teeth to check for pain, which can indicate an abscess. In some instances, an abscessed tooth might react painlessly to pressure during this test.
X-rays are essential in diagnosing a tooth abscess as they reveal the extent of the infection and any potential spread to other areas.
In more severe cases, a computed tomography (CT) scan may be recommended to assess the severity of an infection that has spread beyond the tooth.
Proper diagnosis is crucial for appropriate treatment and to prevent complications from developing dental abscesses.³
Dental Abscess Treatment
Treating a dental abscess involves eliminating the infection, relieving pain, and preventing complications.
The first step is usually prescribed antibiotics, which help control the infection, especially if it has spread beyond the tooth or if the patient has a weakened immune system.
In many cases, further treatment is needed to fully resolve the abscess. A dentist may drain the abscess by making a small incision to release pus, reducing pressure and discomfort.
If the infection has reached the tooth’s pulp, root canal treatment may be necessary to remove infected tissue, disinfect the tooth, and seal it to prevent reinfection.
In severe cases, tooth extraction may be required if the damage is too extensive to save the tooth.
Pain can be managed with over-the-counter pain relievers and home remedies such as warm saltwater rinses, and cold compresses to reduce swelling. Seeking prompt medical care is essential to prevent the infection from worsening or spreading to other parts of the body.
Dental Abscess Prevention

Preventing a dental abscess starts with maintaining good oral hygiene and addressing dental issues early. Here are some key steps to reduce your risk:
Brush and floss daily: Brushing your teeth twice a day and flossing once daily helps remove plaque and bacteria that can lead to cavities and gum disease.
Use an antibacterial mouthwash: This can help reduce harmful bacteria and lower the risk of infection.
Visit your dentist regularly: Routine dental check-ups and cleanings allow early detection and treatment of cavities, gum disease, and other issues before they lead to an abscess.
Treat cavities and dental injuries promptly: Cracked, chipped, or decayed teeth should be addressed as soon as possible to prevent bacterial infections.
Maintain a healthy diet: Limiting sugary foods and drinks can help prevent tooth decay and reduce the risk of abscess formation.
Avoid using your teeth as tools: Biting on hard objects, such as pens, ice, or fingernails, can cause fractures that allow bacteria to enter the tooth.
Frequently Asked Questions About Dental Abscesses
Can I treat a dental abscess at home?
No, home remedies only relieve pain temporarily but won’t cure the infection. Medical attention is a must to properly treat dental abscesses.
Can an abscessed tooth make you sick?
Yes, an untreated abscessed tooth can spread infection to other parts of the body, causing fever, swelling, and serious complications. In severe cases, it may lead to life-threatening conditions like sepsis, requiring immediate medical attention.
When should I go to the dentist for a dental abscess?
See a dentist immediately if you have persistent pain, swelling, or pus drainage. Delaying treatment can lead to serious complications.
How urgent is a tooth abscess?
A tooth abscess is a dental emergency, especially if you have facial swelling, fever, or trouble swallowing. Seek immediate care to prevent life-threatening complications.
Can a dental infection go away on its own?
No, a dental infection won’t heal without treatment and can spread to other areas. A dentist is needed to remove the infection and prevent serious health risks.
Fast Dental Abscess Relief with 24hrdoc
A dental abscess is a serious condition that requires prompt treatment to prevent complications. Ignoring the infection can lead to severe pain, tooth loss, and even life-threatening health risks.
If you're experiencing symptoms of a dental abscess and need quick, professional care, 24hrdoc offers convenient virtual dentist appointments and online dental prescriptions to help you manage pain and infection fast.
Get expert advice from licensed professionals without the wait—schedule a telehealth consultation today and take the first step toward relief.
Sources:
- Healthline. Abscessed Tooth: What You Need to Know.
- MedlinePlus. Tooth Abscess.
- WebMD. What Is an Abscessed Tooth?.




